Loader

کف پای صاف چگونه باعث انحراف زانو می‌شود؟ راه‌های تشخیص و پیشگیری
کف پای صاف چگونه باعث انحراف زانو می‌شود؟ راه‌های تشخیص و پیشگیری

تیم تولید محتوایی ایران نوبت

چگونگی ایجاد انحراف زانو در اثر کف پای صاف

کف پای صاف یکی از شایع‌ترین مشکلات اسکلتی است که در بزرگسالان و حتی کودکان دیده می‌شود. در حالت طبیعی قوس داخلی کف پا مانند یک فنر عمل کرده و هنگام راه رفتن یا دویدن نیروهای وارده از زمین را جذب و به‌صورت یکنواخت تا مفصل زانو و لگن منتقل می‌کند. اما زمانی که این قوس از بین می‌رود و کف پا کاملاً روی زمین قرار می‌گیرد تراز طبیعی اندام‌های تحتانی دچار اختلال می‌شود.در این شرایط چرخش داخلی مچ پا (پرونیشن بیش از حد) افزایش می‌یابد و این چرخش به ساق پا منتقل می‌شود. در نتیجه محور استخوان‌های ساق از حالت طبیعی خود خارج شده و به سمت داخل منحرف می‌گردد. این چرخش داخلی ساق باعث می‌شود مفصل زانو نیز برای حفظ تعادل موقعیت خود را تغییر دهد و زاویه والگوس (زانوی ضربدری) افزایش پیدا کند.به مرور زمان فشار نامتعادل روی سطح داخلی زانو باعث ساییدگی غضروف مفصل درد زانو و تغییر محور استخوانی می‌شود. در واقع رابطه میان صافی کف پا و ناهماهنگی محور زانو زنجیره‌ای از تغییرات بیومکانیکی است که از کف پا شروع شده و تا زانو و لگن ادامه می‌یابد. ایستادن طولانی‌مدت پیاده‌روی زیاد یا ضعف عضلات ساق و کف پا می‌تواند این روند را تشدید کند بنابراین تشخیص زودهنگام و استفاده از کفی طبی مناسب تمرینات اصلاحی و تقویت عضلات کف پا می‌تواند از پیشرفت ناهماهنگی محور زانو و بروز دردهای مزمن جلوگیری کند.

انواع صافی کف پا

صافی کف پا به وضعیتی گفته می‌شود که قوس داخلی کف پا دچار افت شده و هنگام ایستادن یا راه رفتن تقریباً تمام کف پا با زمین تماس دارد. این وضعیت به دو نوع تقسیم می‌شود:
انعطاف‌پذیر: قوس در حالت نشسته وجود دارد اما هنگام ایستادن از بین می‌رود.
سخت: قوس کف پا حتی در حالت نشسته نیز از بین رفته است و معمولاً منشأ استخوانی دارد.

علت‌های اصلی


دلایل این اختلال شامل موارد زیر است:
عوامل ژنتیکی و خانوادگی
ضعف عضلات ساق و کف پا
چاقی و فشار بیش از حد بر پا
استفاده از کفش‌های غیر استاندارد
آسیب‌های لیگامانی یا شکستگی‌های مچ پا

علائم

درد در قسمت داخلی زانو یا قوس کف پا
احساس خستگی و کشیدگی در پاها پس از ایستادن طولانی
ساییدگی غیرطبیعی کف کفش در قسمت داخلی
ظاهر زانوهای ضربدری یا باز در هنگام ایستادن
کاهش توان تعادل و پایداری در حرکت

روش‌های تشخیص


معاینه فیزیکی

در اولین مرحله پزشک یا فیزیوتراپ با بررسی نحوه ایستادن و راه رفتن وضعیت مچ ساق و محور زانو را ارزیابی می‌کند. شکل قوس کف پا در حالت نشسته و ایستاده بررسی می‌شود تا مشخص گردد که آیا قوس طبیعی کاهش یافته یا از بین رفته است. یکی از روش‌های ساده و کاربردی در این مرحله صافی کف پا تست رد پا (Wet Foot Test) است که در آن بیمار کف پای خیس خود را روی سطح صاف قرار می‌دهد. در این افراد تقریباً تمام کف پا با زمین تماس پیدا می‌کند و نشانه‌ای از کاهش یا نبود قوس دیده می‌شود. این معاینه پایه اصلی تشخیص است و کمک می‌کند تا میزان تغییرات ساختاری در پا مشخص شود.

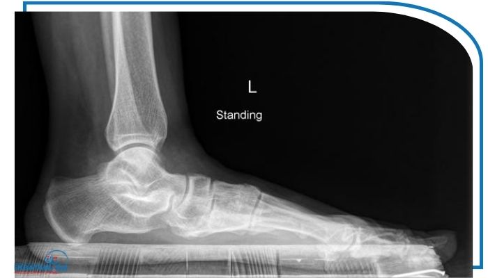
تصویربرداری

در مواردی که شدت تغییرات بیشتر باشد یا پزشک بخواهد محور استخوانی پا و زانو را با دقت بیشتری ارزیابی کند از روش‌های عکس انحراف زانو مانند اشعه X یا MRI استفاده می‌شود. رادیوگرافی معمولاً در حالت ایستاده انجام می‌شود تا زاویه بین استخوان ران و ساق به‌وضوح مشخص گردد. اگر در تصویرزانوها به سمت داخل متمایل باشند نشان‌دهنده ژنووالگوس یا همان زانوی ضربدری است و در صورت خم شدن زانوها به سمت خارج وضعیت ژنوواروم (زانوی پرانتزی) دیده می‌شود. در برخی موارد نیزMRI برای بررسی دقیق‌تر غضروف‌ها رباط‌ها و مفاصل زانو انجام می‌شود تا اثرات ناشی از صافی کف پا بر ساختار داخلی زانو به ‌طور کامل مشخص شود.

آنالیز حرکتی (Gait Analysis)

آنالیز حرکتی یکی از دقیق‌ترین روش‌ها برای ارزیابی عملکرد پا و زانو در هنگام حرکت است. در این روش از حسگرها و سیستم‌های دیجیتال برای ثبت نحوه راه رفتن زاویه مچ پا میزان چرخش ساق و محور زانو استفاده می‌شود. داده‌های به‌دست‌آمده از این تحلیل نشان می‌دهد که آیا صافی کف پا باعث افزایش چرخش داخلی ساق و در نتیجه ناهماهنگی محور زانو شده است یا خیر. این بررسی نه‌تنها در تشخیص اولیه بلکه در طراحی برنامه‌های اصلاحی و پایش روند درمان نیز کاربرد فراوان دارد.

عوارض عدم درمان

در صورتی که این مشکل درمان نشود ممکن است منجر به:
درد مزمن زانو و لگن
افزایش خطر آرتروز زودرس زانو
افت عملکرد حرکتی و خستگی زودهنگام
تغییر فرم استخوانی اندام تحتانی

راهکارهای مؤثر برای بهبود


استفاده از کفی طبی استاندارد

کفی‌های مخصوص با طراحی قوس داخلی مناسب باعث اصلاح فشار وارده بر پا و کاهش چرخش داخلی ساق می‌شوند.

تمرینات تقویتی و کششی

برای تقویت عضلات کف پا ساق و زانو توصیه می‌شود:
تمرینات بلند کردن انگشتان پا
ایستادن روی پنجه‌ها
حرکت حوله با انگشتان پا
تمرینات فیزیوتراپی برای تثبیت محور زانو

انتخاب کفش مناسب

کفش‌های دارای قوس داخلی پشتی محکم و انعطاف متوسط بهترین گزینه برای پیشگیری هستند.

کنترل وزن بدن

چاقی از اصلی‌ترین عوامل فشار اضافی بر کف پا و زانوست؛ حفظ وزن ایده‌آل به میزان زیادی از پیشرفت انحراف جلوگیری می‌کند.

اصلاح وضعیت ایستادن و راه رفتن

توصیه می‌شود هنگام ایستادن وزن به طور مساوی روی هر دو پا پخش شود و از نشستن طولانی با پاهای ضربدری پرهیز گردد.

نتیجه‌گیری

صافی کف پا تنها یک مشکل در پا نیست بلکه اختلالی زنجیره‌ای است که می‌تواند تعادل بدن و عملکرد مفاصل را بر هم بزند. از بین رفتن قوس کف پا باعث انتقال ناهماهنگی نیروها به زانو، لگن و ستون فقرات می‌شود و به مرور زمان می‌تواند منجر به ناهماهنگی محور زانو، درد و خستگی زودرس شود. اصلاح به‌موقع این وضعیت به‌ویژه در دوران رشد نقش زیادی در پیشگیری از مشکلات آینده دارد. در بزرگسالان نیز استفاده از کفی طبی، کفش استاندارد و تمرینات اصلاحی تحت نظر متخصص بهترین راه برای کنترل و پیشگیری از آسیب‌های مفصلی است.
در رادیولوژی و سونوگرافی اکباتان امکان بررسی دقیق وضعیت پا و زانو با استفاده از روش‌های تصویربرداری پیشرفته فراهم است تا روند تشخیص و درمان با دقت بیشتری انجام شود.در نهایت، آگاهی و اقدام زودهنگام مهم‌ترین گام برای حفظ سلامت پاها و مفاصل در طول زندگی است. اگر قصد دریافت مشاوره یا رزرو نوبت را دارید می‌توانید از طریق دکمه دریافت نوبت یا شماره تماس 02144666066 اقدام نمایید.

منابع
my.clevelandclinic.org
noyeskneeinstitute.com